
背景:肺气肿常出现在伴有纤维化的间质性肺疾病患者中,这被称为肺纤维化合并肺气肿(combinedpulmonaryfibrosisandemphysema,CPFE)。迄今对CPFE的定义和诊断标准缺......
背景:肺气肿常出现在伴有纤维化的间质性肺疾病患者中,这被称为肺纤维化合并肺气肿(combinedpulmonaryfibrosisandemphysema,CPFE)。迄今对CPFE的定义和诊断标准缺乏共识,从而限制了对CPFE的研究。
目的:回顾CPFE的术语、定义、特征、病理生理学和研究重点,并探讨CPFE是否是一种综合征。
方法:该研究共识由19名肺科医生、5名放射科医生、3名病理学专家、2名方法论专家和2名患者代表组成的委员会制定。研究共识最后版本是基于一系统性的综述。此系统性的综述分析和总结了近期与CPFE有关的所有文献。
结果:该工作组确定CPFE患者:多为男性,有吸烟史、严重呼吸困难、肺功能相对保留的气流速率和肺容积、DLCO严重受损、劳力性低氧血症、肺动脉高压发生更多以及预后不良。鉴于肺纤维化合并肺气肿常见、有共同的病理机制、与疾病进展相关以及并发症(肺动脉高压、肺癌和/或死亡)的风险增加,委员会建议将CPFE确定为一种综合征,也对临床试验的设计有帮助。CPFE的间质性肺疾病和肺气肿有不同的特征。委员会提出了研究定义和分类标准,并建议对CPFE的影像学和病理学模式进行研究,包括最近描述的吸烟相关的间质纤维化等模式,
结论:该共识描述了CPFE综合征,并强调了研究重点。
关键词:纤维化;间质性肺疾病;肺气肿;诊断;管理
背景
肺气肿在纤维化间质性肺疾病(fILD)中比较常见,包括特发性肺纤维化(IPF),被称为“肺纤维化合并肺气肿”[1,2]。尽管这在临床上非常重要以及对其发表了大量的文献[3],但我们对CPFE的了解仍然很少。CPFE的影像学特征在fILD或肺气肿中二者变化都很大,并不是所有病例都符合IPF合并肺气肿。类似的,病理特征谱包括近期描述的伴随纤维化的气腔扩大(AEF)[4]和吸烟相关的间质纤维化(SRIF)两种模式[5]。缺乏对CPFE共识的标准限制了我们对不同队列研究结果的比较,也限制了对疾病特征、临床结局和最佳管理得出一致的结论[3]。CPFE是一种综合征(即,一组具有临床相关意义和/或主要病理意义的临床和放射学表现),还是一个独特的疾病,目前尚无共识。实质上,CPFE仍然相对缺乏研究,没有具体的治疗方法。
该工作组的目标是:1)描述CPFE的术语、定义、病因、特征、共病和结果;2)提供CPFE的共识定义和术语,确定它是否代表一种综合征,描述其处理方法,并确定研究重点。
方法
该研究共识由美国胸科学会(ATS)、欧洲呼吸学会(ERS)、日本呼吸学会(JRS)和拉丁美洲胸科协会(ALAT)组成的一个专家委员会制定。该委员会包括19名肺科医生,5名放射科医生,3名病理学专家,2名方法学专家和2名患者代表。根据ATS的政策,程序,和管理的潜在利益冲突,工作队通过两次面对面会议以及通过电子邮件和电话会议进行沟通。文件的各部分由小组拟订,每个小组有一名负责人撰写。最终手稿得到了所有小组成员认可。
搜索策略此前已发布,搜索于2021年12月1日[3]更新(在线补充)。我们在MEDLINE和EMBASE数据库中搜索2000年1月1日至2021年12月1日期间以英文发表的所有原创研究文章,其中包括肺纤维化和肺气肿患者的任何形式(见在线增刊中的表E1和E2)。所有形式的原始研究(例如,随机对照试验和观察性研究)都包括在内,但不包括少于10例患者的病例系列。两名审查员使用预定的标准进行筛选,分歧通过与第三名审查员的一致意见解决(图E1)。
历史回顾
描述CPFE的大事记在表1中列出[7-23],并在在线补充中进行了描述。自最早的这些发表以来,本文后面引用的几个系列有助于对CPFE进行更完整的描述,并确定了除吸烟外的其他病因。
表1.描述肺纤维化合并肺气肿大事记


流行病学
肺气肿在目前吸烟和既往吸烟的肺气肿患者中fILD很常见。CPFE的估计患病率因研究人群和使用定义而异,在IPF患者中占8-67%[24-34]。患病率可能存在地域差异,在亚洲和希腊较高,美国较低。这些差异可能归因于不同遗传易感性、吸烟或对CPFE的定义。据报道,在26-54%的特发性间质性肺炎患者中存在CPFE[35,36],在需要住院的患者中发生率更高(45-71%)[37,38]。肺癌合并特发性间质性肺炎(包括IPF)患者的患病率也较高[39,40]。
CPFE在普通人群中的患病率尚不清楚,大多数数据来自胸部CT有特征的患者。接受胸部HRCT检查(适应症未知)的男性中,7.3%的患者检查发现了前文定义的CPFE[1)[41],在韩国单中心研究中2.8%的患者通过HRCT发现CPFE[42]。在切除的肺癌患者中,3-10%的患者存在CPFE[38,43-45](表2);然而另一项肺癌筛查队列研究发现,患病率低得多,为0.04%[36]。
表2.不同患者人群肺纤维化合并肺气肿发生率

病因
暴露和疾病
吸烟和男性一直被认为与CPFE有关。CPFE在男性中的发生频率是女性的9倍,这种差异并不完全归因于男性吸烟史更多[46]。几乎所有CPFE的患者都有吸烟史,平均吸烟时间为40包-年,只有一些结缔组织病(CTD)或纤维化型过敏性肺炎(fHP)患者[47,48]例外,他们的吸烟时间较短[49-53](图E2)。CPFE的吸烟史比单独的IPF[24,32,34,38,43,45,50,54-59]或系统性硬化相关ILD[49]更常见。CPFE与吸烟的包数之间存在剂量效应[28,55,58,60,61]。有数据的情况下,肺气肿通常先于ILD,尽管也有一些例外,特别是考虑到间质性肺异常是ILD的早期形式[1]。
CPFE可发生于非吸烟者,尤其是CTD患者,这可能提示CTD本身是一个危险因素[28,51,52]。在470例系统性硬化症患者中,43例在胸部CT上发现存在CPFE,其中24例(58%)从未吸烟[62]。大约5-10%的系统性硬化症相关的ILD患者有CPFE影像学表现[49,51,63,64]。在116例不吸烟且伴有类风关相关的ILD患者中,HRCT显示27%存在肺气肿[52]。在系统性血管炎中也有报道CPFE,特别是显微镜下多血管炎[65,66]。150例RA患者中,12例(8%)同时患有肺间质纤维化和肺气肿[67];然而,在类风关肺部损害患者中,肺气肿的患病率高达48%[28,68]。在HRCT上,CTD相关的普通间质性肺炎(UIP)的肺气肿比IPF(特发性UIP)范围小[69]。与无肺气肿的IPF患者相比,CPFE的IPF患者抗核抗体或中性粒细胞细胞质抗体阳性的可能性更高[1,25]。
多种职业因素和吸入性暴露与CPFE相关(表3)[70-105]。CPFE见于石棉肺和矽肺患者,偶尔见于终生不吸烟者[74-77]。有趣的是,7-23%的fHP患者发生肺气肿[47,78]。在调整吸烟数量后,接触蒸汽、灰尘、气体和烟雾等职业性暴露与更广泛的放射性肺气肿相关[106]。
表3.与肺纤维化合并肺气肿相关的暴露和病因

遗传易感性与衰老
遗传易感性和风险因素相结合,比如吸烟或接触其他空气污染物,可能使患者更易发展纤维化和肺气肿[2],后两者发病过程中都涉及衰老和细胞衰老[107-111]。CPFE的遗传倾向尚未很好了解,只有少数病例报道携带CPFE或IPF孟德尔风险的突变。CPFE在携带与表面活性物质(见在线补充)[93-98]或端粒[88-92]相关基因突变的患者中有报道。端粒较短与慢性阻塞性肺疾病(COPD)和IPF均相关[112],因此可能与CPFE相关[2,46],尽管这需要进一步研究[113]。如果得到证实,CPFE将代表一种吸烟诱导的端粒相关肺部疾病模型。表观遗传的改变可能也很重要[114]。
临床表现和合并症
CPFE患者的平均年龄约为65-70岁[1,46](与IPF和COPD相当),男性占73-100%[1,24-33,38,43,45,55-57,60,61]。症状包括劳累性呼吸困难和咳嗽[1,41]。CPFE和肺动脉高压(PH)的患者有明显的劳累性呼吸困难,其中大多数患者的纽约心脏协会功能分级为III或IV[115]。
在CPFE中,两种最显著的共病是肺癌和肺动脉高压,其他共病包括冠状动脉疾病、周围血管疾病和糖尿病[38,116],尽管尚不清楚这些疾病在CPFE中是否比无肺气肿的IPF中更普遍[42,60]。样本量、研究设计(回顾性)、共病识别和记录方法的差异导致了不确定性。需要采用标准化数据收集方法和病例定义的前瞻性研究。
肺功能
CPFE患者运动耐量减低,DLCO和交换系数(Kco)严重受损[1,46,117-119],而气流速率和肺容积相对正常。大部分患者FVC/DLCO比值增加[51]。
与单独IPF相比,CPFE患者肺容积(FVC和TLC)较高,FEV1大致相当,残余容积较高,DLCO较低,Kco较低,PaO2较低[17,24,26,31-33,37,59,60,119-125]。平均FEV1/FVC比值通常正常或略有降低,可能随着纤维化的进展而升高,常低于孤立IPF,后者通常升高(例如0.80)[26,120]。CPFE和孤立IPF之间的生理学比较可能会受到肺气肿和纤维化严重程度差异的阻碍[24]。
表4.肺纤维化合并肺气肿肺功能的主要特征

与COPD相比,CPFE患者相对保留较好的FEV1和FEV1/FVC,过度通气较少,DLCO较低[126]。来自三个研究中的132例患者(总患病率36%)中的少数患者TLC80%预测值[1,50,115],而只有41%的FEV1/FVC70%。其中,11%的人FEV180%预测值,与COPD中的GOLDI期相对应,37%的人被归为0阶段(FEV1/FVC大于或等于70%,FEV1大于或等于80%的预计值),22%的人未归为0阶段(FEV1/FVC大于或等于0.70,FEV1小于或等于80%的预测)。在另一项研究中,如果影像学表现为间质性肺病,患有肺气肿的吸烟者不太可能达到COPD的肺功能诊断标准[127]。因此,如果只根据肺功能,其测定值的相对保留可能导致对COPD诊断不足。
血流速率和肺容积的相对保留,归因于气道肺纤维化的限制和肺气肿的影响导致生理上的平衡(可能是通过牵引力增加弹性回缩力,防止呼气时气道塌陷)。因此,在CPFE中,FEV1/FVC实际上可以随着纤维化疾病的进展而改善到正常值,尽管呼吸困难和DLCO恶化[128],这与COPD是不一致的[126]。TLC与CT上显示的肺气肿程度呈正相关,与纤维化程度呈负相关。相反,FEV1/FVC与CT上肺气肿程度呈负相关,与纤维化程度呈正相关[129]。通过多频强迫振荡呼吸阻抗分析,CPFE患者的全呼吸吸气阻力和呼气阻力较单独fILD低,进一步支持肺力学“正常化”假说[130]。相反,这两种疾病都可以减少毛细血管血量,或者肺泡膜增厚而减少气体交换,导致DLCO更大程度的减少。
在CPFE中,运动时动脉氧饱和度严重下降和低氧血症是很常见的,特别是在伴有严重肺动脉高压时[1,115,119]。因此,运动受限伴氧饱和度降低[119]、单独的和/或严重的DLCO或Kco降低[132],与轻微的通气功能受损相比,应警惕可能CPFE和/或肺动脉高压。与单独IPF相比,CPFE患者具有更低的运动能力,尽管HRCT上纤维化程度较低[133,134]。劳力性呼吸困难是关键的限制性因素,与通气功能减低有关,并可能增加低通气区的死腔[133]。高碳酸血症只在病程晚期发生。当CPFE发生在CTD[49-52]或fHP[47]时,也观察到类似的肺功能情况。
重要的是,严重肺气肿的存在会影响fILD的连续肺容量趋势,减轻进行性纤维化所致的连续肺容量下降。与单纯IPF患者相比,CPFE患者的FVC下降较慢[26,29,124],而对DLCO的下降和综合生理指数(CPI)上升影响较小[29,60]。CPI是量化了IPF导致的功能损伤,同时排除了肺气肿。在一项关于两个IPF随机对照试验的分析中,与无肺气肿或肺气肿程度15%的患者相比,肺气肿程度小于或等于15%的患者48周内FVC下降减少相关[29]。与无肺气肿或肺气肿程度<15%的患者相比,肺气肿程度≥15%的患者在48周内FVC下降幅度较小[29]。
因此,没有最佳参数指标来验证监测CPFE的疾病进展。通常用于监测IPF进展的FVC变化[135]并不是评估CPFE患者疾病进展的可靠指标[26,29,124],这会对临床试验的设计有所影响[2,136]。DLCO的连续变化可能是疾病进展的一个有用的指标,但也受到其他额外因素的影响,包括血管病变、血红蛋白浓度和测量的变异。CPI的连续变化不能有效用于监测ILD进展。基线时FEV1%/FVC比值1.2,6或12个月时FEV1下降10%或更多与不良预后相关[138],但这些观察结果值得进一步被证实。在临床实践中,个别患者可观察到上述一项或多项功能参数的下降。综上所述,委员会建议,CPFE中的疾病进展应结合临床、影像学和多项肺功能参数进行监测,对并发肺气肿的ILD,应重视FVC趋势的检测。
影像学特点
概述
CPFE的特征是胸部HRCT同时存在肺气肿和间质纤维化,表现多种多样。
肺气肿是指CT上不以可见壁为界的低密度区[139]。可分为小叶中央型、间隔旁型或全腺泡型[140]。间质纤维化被认为是实质衰减增加的区域,表现为网状影和/或磨玻璃样阴影,以及不同程度地蜂窝状和/或牵拉性支气管扩张(表5)。HRCT上CPFE的肺气肿模式初步被分为不同的组[129,141-143](图1-8);然而,为了更好地定义CPFE的影像学亚型,还需要更多的工作。没有研究正式比较CPFE和COPD的肺气肿模式[140]。
表5.肺纤维化合并肺气肿患者HRCT成像中高、低衰减实质特征的定义


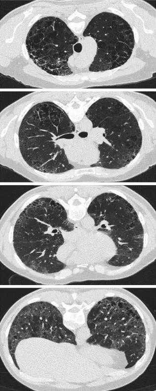
图1:HRCT显示合并肺纤维化和肺气肿的典型疾病分布(单独的肺气肿和纤维化模式)。间隔旁和小叶中央肺气肿局限于上肺,以牵拉性支气管扩张为特征的纤维化局限于下肺。

图2:HRCT显示合并肺纤维化和肺气肿的典型疾病分布(进行性转变模式)。一例72岁特发性肺纤维化患者,主要表现为肺上叶小叶中央型肺气肿,并向肺中部扩散。下肺未见肺气肿。这些表现符合肺纤维化和肺气肿合并的进行性过渡模式。

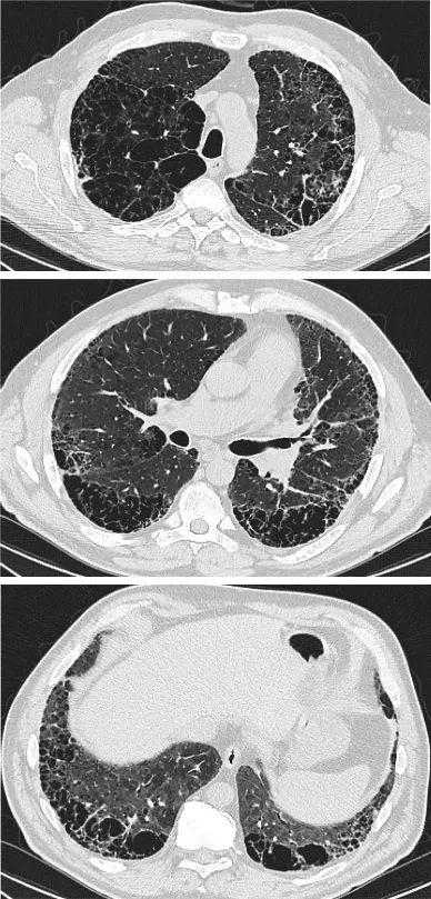
图3:HRCT显示典型的肺纤维化和肺气肿(间隔旁肺气肿模式)的典型分布。67岁男性,诊断为特发性肺纤维化,广泛孤立的间隔旁和小叶中央肺气肿出现在上部区域。尽管小叶中央型肺气肿多孤立于中段,但间隔旁肺气肿越来越混杂,类似于左肺中的蜂窝状囊肿。在左下叶内,间隔旁的肺气肿类似蜂窝囊肿,与形状不规则的小叶中心型肺气肿相邻。

图4:HRCT显示混合性破坏性肺气肿恶化(合并肺纤维化和肺气肿,混合型)。一位66岁男性特发性肺纤维化患者的(A和B)肺上区和(C和D)肺下区,相隔2年(A和C:基线;B和D:随访)的轴位图像中,随着时间的推移,右上叶的孤立性肺气肿与纤维化混合在一起。在左下叶,中央位置的肺气肿变得分离(牵引性肺气肿),并随着周围纤维化的进展而扩大。

图5:HRCT显示肺气肿合并肺活检证实的脱屑性间质性肺炎(合并肺纤维化和肺气肿,HRCT混合模式)。低衰减区混杂有磨玻璃样阴影(高衰减)和小叶间隔增厚。

图6:HRCT显示混合性肺气肿和纤维化伴厚壁大囊肿(肺纤维化和肺气肿合并,厚壁大囊肿模式)。组织病理学显示主要与吸烟相关的间质纤维化。

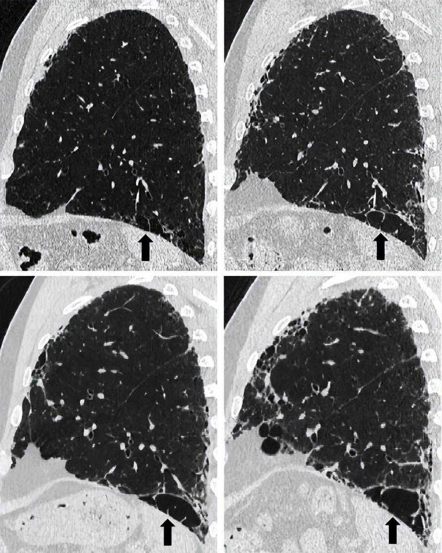
图7:一名66岁男性吸烟者被诊断为特发性肺纤维化和肺气肿(CPFE,大的厚壁囊肿模式),病程4年。在左上角图像中,与肺气肿一致的无清晰可见壁的低密度病变(箭头)在隔膜附近可见,位于肺纤维化区域内。在接下来的4年里,随着纤维化的成熟,低密度病变合并并扩大(箭头),形成厚壁的囊性病变。

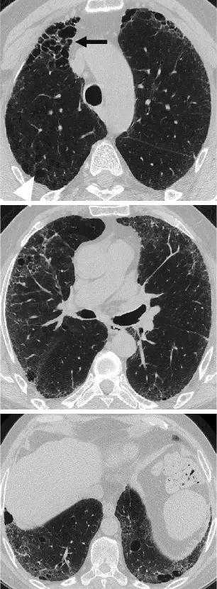
图8:69岁男性特发性肺纤维化,HRCT显示双肺弥漫性肺气肿和下肺明显纤维化(CPFE,无法分类模式)。右上肺肺气肿是混合性肺气肿(黑色箭头)和孤立性肺气肿(白色箭头)的组合。中间可见混合性肺气肿,下部可见混合性和孤立性的肺气肿和小叶中央肺气肿。
适当评估ILD的HRCT扫描参数可以在其他地方找到[144]。当肺气肿和纤维化在空间上重叠时,经典的HRCT模式可能发生改变。例如,小叶间隔伴胶原纤维的扩张可使间隔性肺气肿表现为蜂窝状囊肿。大多数研究集中在IPF患者和/或HRCT为UIP模式的患者[1,24-26,29,30,32,33,33,38,55,56,58,56,61,120,121,137,138,141,145-153],尽管其他研究也包括了各种ILD亚型和成像模式的患者。鉴于CPFE患者在HRCT上有UIP模式的比例很高(表E3)[1,137,145-147],区分混合性肺气肿与蜂窝状囊肿存在具有挑战性。肺气肿和纤维化的共存也可以形成一种厚壁囊性病变的成像模式[141,142],这被认为反映了肺气肿的扩张,因为被相邻收缩的纤维化肺拉开。委员会建议,这个过程可以被称为牵引性肺气肿,因为它假定的机制类似于在纤维化区域常见的牵拉性细支气管扩张。厚壁囊性病变主要位于肺后基底区,由网状阴影包围的大肺气肿区组成,在CPFE中比在单独IPF中更常见[141,142]。然而,尚不清楚厚壁囊性病变是否是CPFE的特异性病变,其演变过程尚未得到充分描述。
新的成像模式可能有助于早期诊断或区分IPF与CPFE[154-156]。结合功能信息和解剖细节的成像方式,如超极化氙气磁共振成像,可促进对重叠肺气肿和纤维化的鉴别[157,158]。高极化氙气磁共振成像所见纤维化区域的红细胞光谱峰值降低,可与肺气肿区域增加的表观扩散系数一起评估,在肺气肿区域,腺泡-呼吸道完整性的破坏增加了布朗运动[159,160]。然而,需要更多的工作来了解充气蜂窝囊肿在表观扩散系数上是否会模仿相同大小的肺气肿病变。
所有常规使用的影像检查方法都是通过组织病理学将损伤定义为肺气肿或纤维化。更新的体外成像技术,如分层相位对比断层扫描,能够在2.5μm对整个肺和感兴趣的焦点区域进行成像,通过提供肺部的三维组织病理学特征,可能改变我们对肺气肿-纤维化相互作用的理解[161]。
HRCT异常的量化研究
疾病的量化主要依赖于对肺气肿和纤维化程度的半定量的视觉HRCT估计。然而,这种方法受到几个挑战的限制:1)观察者间的差异[30];2)视觉评分的时间限制;3)HRCT扫描询问的不同方法(例如,评估整个CT容积与间隔图像);4)HRCT空间分辨率变化;5)是否单独量化肺气肿范围或同时量化肺气肿和纤维化程度[24、29、30、47、52、58、121、138、147、162];6)肺气肿定量的变化(例如,肺气肿的总程度,与纤维化区域内或分离的肺气肿程度)[30,31,52,58,163]。
肺气肿的量化
鉴于纤维化对肺生理的混杂影响,CPFE的肺气肿成分一直通过成像而不是肺功能测试进行评估。对已确诊的肺纤维化患者的肺气肿程度进行可靠的估量具有重大挑战。大多数研究使用经验丰富的放射科医生对肺气肿的目测评估,这是一种容易获得且评价者之间有适度一致性的方法。在影像学上用于描述CPFE肺气肿阈值[3](见下节),包括:0%[26,30,58],5%[121],10%[24,32,148]和15%[162]的总肺容积。一项研究将肺气肿程度的评估限制在隆突水平以上[51]。
使用基于计算机的肺密度测量(例如,密度掩盖)对肺气肿进行评分的定量方法通常用于COPD的研究,并消除了观察者变异性问题。然而,尽管在一些系列中尝试过这种肺气肿量化方法[36、42、58、122、123、148、163-165],但它不太适合CPFE,因为它不能区分由肺气肿引起的低密度区和由蜂窝囊肿、牵引性支气管扩张或由于小气道疾病引起的非肺气肿马赛克衰减引起的低密度区。在这一局限被克服之前(可能是通过人工智能),视觉量化肺气肿程度仍然是CPFE的首选方法。
肺气肿形态学模式的差异(亚型:间隔旁型、小叶中央型、混合型、不确定型;主要分布在轴向层面)也被用来描述CPFE的亚型[26,120,129,147]。需要进行大规模的多中心研究,以确定这些CPFE形态亚型是否与不同的功能或预后相关。在HRCT成像中确定的亚型也可以通过组织病理学相关研究确认[151]。
ILD量化
尽管fILD的严重程度在临床上很重要(图E3),但HRCT成像上肺纤维化的最小阈值范围在CPFE中很少使用(图E3)。定义CPFE的最小纤维化阈值的概念与肺癌筛查人群特别相关。筛查研究的参与者通常年龄较大,有严重的吸烟史,肺气肿和间质性肺异常(ILAs)都很常见[127,166-169]。这可能导致筛查人群中ILAs和肺气肿合并的患病率较高[170]。
在IPF的背景下,HRCT上的磨砂玻璃样阴影主要代表细小的纤维化,CPFE的纤维化程度是通过将磨玻璃样阴影、网状和蜂窝囊肿加在一起来计算[118,171[。然而,纤维化程度的量化与体积损失相混淆,肺下叶有时严重收缩成很小纤维化区域。然而,当考虑CTD相关的ILD或fHP时,磨玻璃样阴影可能反映炎症而不是纤维化,对于磨玻璃样阴影是否应被视为CPFE纤维化程度的一部分,尚无共识。有人建议,为了符合CPFE定义所要求的“纤维化”因素,磨玻璃样阴影只有在被网状线或牵引性支气管扩张覆盖时才应被量化(图9和E4)[171]。就CPFE中ILD模式的量化达成一致,对于未来协调研究解释以及就首选的视觉纤维化量化方法(体积叶评分与五或六级HRCT切片评分;纤维化程度的分类与连续评分)达成一致将是重要的。

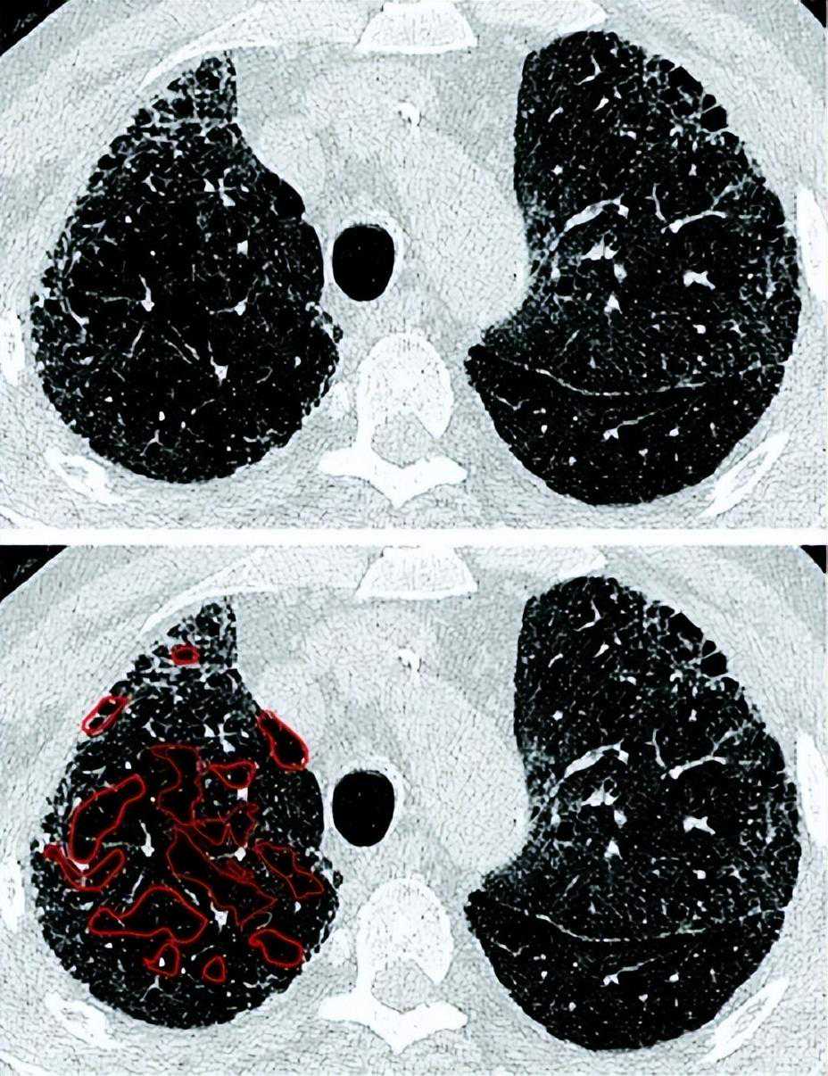
图9:肺气肿视觉评分。特发性肺纤维化和肺气肿患者上叶的轴向切面(上)。肺气肿通过肺叶不规则分布,使视觉量化困难。目视合并肺气肿病灶(下)并估计其组成的肺叶的比例(即,50%,33%,25%,20%,15%,10%或5%)可以简化复杂性病例的定量(见在线补充)。
病理学特征
CPFE中与吸烟相关的异常和纤维化的组织病理学模式
肺气肿是诊断CPFE的必要条件,它被定义为异常的、永久性的细支气管远端气腔增大,伴有气壁破坏,无明显纤维化(图10)[172-176]。对来自外植体肺切除术和尸检肺的仔细充气肺标本的形态学研究为肺气肿的解剖学定义提供了基础,并继续为我们了解其发病机制提供信息。然而,在活检中可以看到肺气肿和fILD共存,这种情况下病理学家需要记录肺气肿和fILD。小叶中央型肺气肿是一种上肺叶为主的肺气肿,由吸烟引起,在CPFE患者中常伴有间隔旁型肺气肿。肺气肿在外科肺标本中很常见,经常与其他吸烟相关的异常共存,包括呼吸性细支气管炎(RB)和SRIF[5,177]。

图10:重度吸烟者伴周围小细胞癌楔形切除术的小叶中央肺气肿。中倍镜显示气腔增大,细支气管壁破坏,可见游离结缔组织碎片。苏木精和伊红染色。
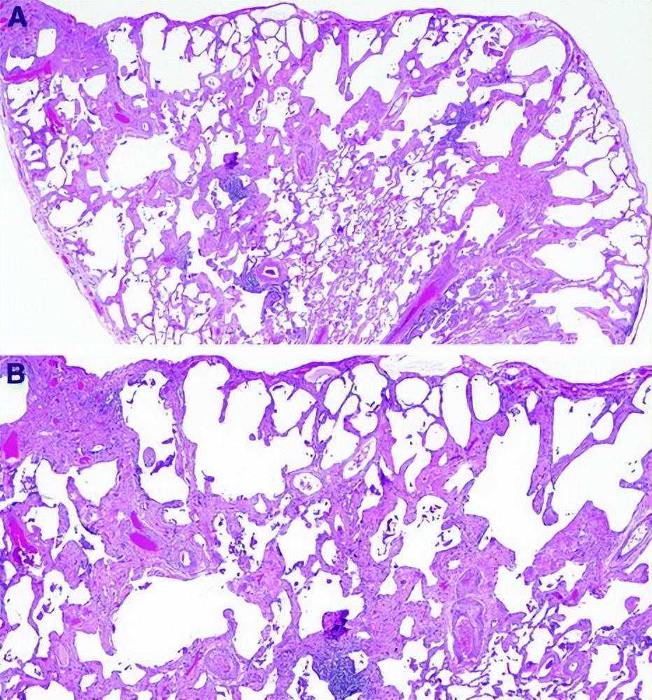
呼吸性细支气管炎(RB)几乎只发生于吸烟者,其特征是在呼吸性细支气管和细支气管周围间隙的管腔内聚集有着色的肺泡巨噬细胞,无明显炎症或纤维化(图11)[178]。RB在外科肺标本中是一种常见的偶然发现,包括活检,它可能伴随任何类型的肺纤维化,特别是SRIF、脱屑性间质性肺炎(DIP)、UIP和朗格汉斯细胞组织细胞增多症(LCH),因为这些人群中吸烟的患病率很高。RB-ILD是一种排除性诊断,在排除了其他诊断后,RB被认为可以解释弥漫性间质性肺病,这种情况在组织学上与偶发性间质性肺病难以区分。RB本身不是一种纤维化病变,因此不能充分解释疑似CPFE患者的纤维化。

图11.呼吸性细支气管炎(RB)患者的RB间质性肺病。RB在合并肺纤维化和肺气肿并伴有肺纤维化的患者中很常见。(A)低倍镜显示RB的特征是远端细支气管和细支气管周围空腔内的浅着色团簇状的巨噬细胞。(B)高倍镜显示呼吸道细支气管及周围空气腔内着色巨噬细胞,无明显炎症或纤维化。苏木精和伊红染色。
在CPFE患者中的纤维化模式在组织学上是异质的(表6)[179-181]。这些模式包括与吸烟有关的一种特殊形式的纤维化,Katzenstein为此提出了术语SRIF[5,23,61,151]。SRIF与先前对AEF[4,182,183]、RB相关的ILD与纤维化[22]、RB与纤维化[181]和DIP的描述重叠。一些具有纤维化NSIP模式的病例也可能与吸烟有关。SRIF的特征是在扩张的肺泡间隔中沉积致密的嗜酸性胶原,肺结构得以保存,很少或没有炎症(图12)。SRIF明显偏向于周围胸膜下和细支气管周实质,不具有UIP特有的斑片状分布。当与间隔旁肺气肿相结合时,SRIF可能是CPFE所特有的“厚壁囊性病变”,与UIP的蜂窝囊肿不同(图13)[61,141,142]。像RB一样,SRIF是外科肺标本中常见的偶然发现,包括其他类型肺纤维化患者的肺活检[23]。孤立的SRIF是具有ILD临床特征的患者的主要病理异常,在这些患者中往往合并RB(图E5和E6)[22,181]。没有其他伴随纤维化模式的SRIF尚未被确定为CPFE的病因;因此,将CPFE患者的肺纤维化归因于SRIF需要排除其他纤维化类型,包括最重要的UIP[184]
表6.肺纤维化合并肺气肿的吸烟相关间质纤维化和其他类型的纤维化型间质性肺疾病的组织病理学特征


图12:120包烟龄吸烟者合并肺纤维化和肺气肿的上肺叶活检中出现吸烟相关间质纤维化,特征为肺气肿和中下肺叶活检中常见间质性肺炎的结合。(A)低倍镜显示胸膜下薄壁组织被少细胞、密集的嗜酸性(类淀粉样)胶原蛋白轻度扩张,肺结构保留。(B)高倍镜显示胸膜下纤维化,无蜂窝状变化或成纤维细胞灶。有轻微的相关肺气肿。

图13:吸烟相关间质纤维化(SRIF)的胸膜下囊肿与普通间质性肺炎(UIP)的蜂窝状改变形成对比。(A)低倍镜下SRIF伴远端腺泡(间隔旁)肺气肿形成厚壁囊肿。肺整体结构保留,少细胞纤维化缺乏UIP更典型的变化。囊腔主要由衰减的肺细胞排列。(B)UIP蜂窝变化的低倍镜照片。纤维化呈斑片状分布,正常肺结构塌陷变形。纤维化包括成纤维细胞灶(箭头所示)和轻度斑片状淋巴细胞浸润,形成杂色外观,与SRIF中均匀的、少细胞的、密集的嗜酸性纤维化形成对比。囊性蜂窝状空腔(*)主要由柱状细支气管型上皮排列而不是由肺细胞排列。苏木精和伊红染色剂。

图14:脱屑性间质性肺炎(DIP)。(A)低倍镜显示相对均匀的间质性肺炎,伴有明显的着色肺泡巨噬细胞簇。(B)高倍镜显示间质炎症,区分DIP与吸烟相关的间质纤维化(与B相比)。苏木精和伊红染色。
LCH是一种与吸烟相关的ILD的潜在纤维化形式,可能与其他与吸烟相关的异常一起发生,包括肺气肿、Rb、SRIF和DIP[5,185]。晚期疾病的特征是HRCT上难以与肺气肿相区别的囊性改变[186],手术标本中的纤维化模式可能与其他形式的fILD相似。晚期LCH患者手术标本的组织病理学检查,无论是外植体还是诊断性活组织检查,通常都因缺乏诊断性朗格汉斯细胞而复杂化。有助于将LCH与其他类型的纤维化区分的显微镜特征包括星状细支气管中心结节和附属区周围空域扩大(“疤痕肺气肿”)的特征性改变,无胸膜下蜂窝状改变(图E7)。
仅根据组织病理学检查结果,没有确定CPFE诊断的标准。支持性特征包括肺气肿和除SRIF或LCH外的纤维化模式(图12)。UIP是CPFE患者最常见的肺纤维化类型(图E8和E9)[1,37,141,151,187,188]。在肺气肿的背景下,识别典型的IPF需要识别斑片状纤维化、成纤维细胞病灶和无组织学特征的蜂窝样改变,以建议替代方案,如LCH、f-HP或CTD相关的UIP[48,144,180]。CPFE中UIP的独特之处在于存在由肺气肿和SRIF共同引起的厚壁囊性病变(图13)。其他不太常见的纤维化类型包括纤维性非特异性间质性肺炎(NSIP)和DIP[1,189,190]。对肺纤维化的亚型进行分类可能具有挑战性,因此在伴发肺气肿的情况下,UIP的组织病理学特征可能仍不确定[1,151]。
根据组织病理学特征确定的合并症
CPFE预后不良可能是与PH相关的血管改变所致。在CPFE、IPF和单纯肺气肿患者的尸检结果比较中,CPFE和IPF患者的血管改变比单纯肺气肿患者更广泛(149例)。血管病变仅限于肺气肿的区域,但在CPFE和IPF中累及肺气肿、纤维化和相对保存的实质。血管改变包括肌肉小动脉的内膜增厚和中层肥厚,以及大小相当的小静脉的内膜增厚。丛状病变很少见,仅见于一小部分CPFE和IPF患者。
恶性肿瘤在CPFE中也并不少见,在手术切除的病例中鳞状细胞癌的患病率较高[38]。
结局和并发症
有几个重要的结果与CPFE患者有特殊的相关性,其中肺癌和PH是临床上最相关的。目前尚不清楚不同的CPFE模式是否会有不同的并发症风险(表5和表6)。
肺动脉高压
据报道,15-55%的CPFE患者存在PH[1,32,49,50,137],一些研究表明一些ILD中的PH患病率增加[49,120],而另一些则没有这种关联[56,60]。PH患病率估计的差异可能是由于PH评估方法的不同(例如,超声心动图与右心导管定义的PH)和统计建模的差异[191],也可能是由于HRCT上纤维化和肺气肿的严重程度不同[30]。CPFE中PH的病理生理学可能是多因素的[192]。一些研究表明,与IPF[24,32]和COPD[193]或肺气肿[149]相比,CPFE患者的PH严重程度更差。肺气肿的额外负担,超过给定的纤维化程度,增加了PH的风险。然而,在HRCT上,CPFE患者和单纯纤维化患者之间,PH的可能性在匹配的疾病程度(合并纤维化和肺气肿)(或调整DlCO)中没有差异[30,58]。
肺癌
据报告,2-52%的CPFE的患者发生肺癌,采用不同的方法(横断面,纵向随访)[35,37,41,42,57,58,60,137,148,162,163,194]。在一项荟萃分析中[195],CPFE(UIP和肺气肿)患者的肺癌风险高于单纯IPF患者(;95%CI,1.78-4.05)[195]。CPFE和UIP合并任何程度肺气肿的患者发生肺癌的风险也同样增加(OR,2.93;95%CI,1.79-4.79),肺气肿小于或等于肺容积的10%(OR,2.22;95%CI,1.06-4.68),与无肺气肿的UIP患者[195]比较。
CPFE中肺癌最常见的组织病理学亚型是鳞状细胞癌和腺癌[38-40,44,45,116,162,194,196-199]。与一般流行病学中腺癌占50%的非小细胞肺癌的相[200],鳞状细胞癌似乎在CPFE患者中更常见[39,40,44,45,162,194,196-199,201]。大部分肺癌位于肺下叶[39,196]。与无CPFE的非小细胞肺癌相比,其浸润性更大,诊断较晚[199,202]。
尽管个别研究的结论不同[38,44,45,57,145,196,201],但一项系统综述和meta分析得出结论,CPFE的存在与非小细胞肺癌患者较差的生存期相关[38,44,57,145,196,199,201]。在CPFE和肺癌患者中,蜂窝状细胞的存在、癌症晚期和手术切除的可行性降低是死亡率的预测因素[203]。较差的结果至少部分与CPFE中癌症治疗的发病率和死亡率增加有关,这往往限制了标准治疗[40,43,45,197,198,20,204,205]。
急性加重
CPFE患者中IPF急性加重的发生率不同[50,137,141,196,206-208]。CPFE急性加重的危险因素可能与IPF相似,包括性别-年龄-生理评分较差和存在肺癌,特别是在手术切除后[43,196,197,205,206]。胸部HRCT提示弥漫性磨玻璃和/或实变有助于CPFE患者区分纤维化加重和肺气肿加重[209]。CPFE的急性加重的预后可能优于单独IPF[31,208]。
死亡
CPFE与生存较差相关,不同研究之间死亡率不同,这可能反映了样本量、随访时间和合并症的不同[1,32,35,37,38,55,115,137,164,210]。在HRCT上,CPFE患者的生存率低于单纯肺气肿患者[42]。与单纯IPF患者相比,CPFE患者报告的生存率较差[32,38,49,55,56],相当[24,26,35,37,39,47,57-59,11,211-213],或较好[31,120,147]。对这一差异的解释可能包括诊断干扰(CPFE人群中存活率较好的非IPF病例比例较高)、失访偏倚[26,60]、不同队列中肺气肿与纤维化的相对程度差异[24,59,214]和“健康吸烟者”效应[215]。在某些研究中发现肺气肿程度与纤维化程度呈正相关[32];然而,另外一些研究中呈负相关[29,129,216]。在一系列研究中,试图专门检查主要或完全由IPF组成的CPFE亚组[24,32,36,42,55,120,146,213]。然而,然而,由于大多数疑似IPF的CPFE患者缺乏UIP的组织学证实,以及难以区分真正的蜂窝状改变(UIP的HRCT模式所需)和HRCT的肺气肿和肺纤维化的混合体(“假性蜂窝状改变”)[217,218],这一目标变得复杂起来。
CPFE的预后评估,特别是参照CPFE和单独IPF之间的比较,需要同时对肺纤维化和肺气肿进行定量分析。这是在这是在两个IPF回顾性队列中进行的[58,213],使用了视觉分析到最近的5%[58,213]和基于计算机的CALIPER软件分析[58]。HRCT上的整体疾病程度(即纤维化和肺气肿的综合程度)和基线DlCO都预测了死亡率,反映了肺实质破坏的总体严重程度[58,213]。在使用DlCO校正基线严重程度后,肺气肿的存在或程度不影响生存[32,58,213,215]。
没有证据表明有肺气肿的IPF患者和没有肺气肿的IPF患者的疾病进展不同,FVC趋势不同[26,29,60,164]。CPFE中的FVC下降速率较低可能与肺气肿的肺容积保留有关[29],特别是与纤维化混合时[58],而不是与纤维化进展较慢有关。进一步的研究应该使用连续HRCT、DlCO、CPI和症状评估来比较有无肺气肿患者的纤维化进展。
CPFE患者死亡率的预测因素包括DLCO[27,60,115],CPI[11,187],年龄[27],以及存在特定共病,如PH[1,27,32,49,115]和肺癌[41,57,141,219](表7)[220-222]。在CPFE患者中,尚无证据表明FVC是死亡的预测因子,除非FVC50%预测值[32],或者吸烟史[163]。然而,CPFE死亡的预测因素,包括PH的影响[30],在所有的研究中都没有得到一致的确定,需要进一步的工作来确定CPFE综合征患者死亡的危险因素。
表7.肺纤维化合并肺气肿患者死亡相关的变量

结果总结
总的来说,这些数据表明,当纤维化之外还存在肺气肿时,在既定的纤维化程度下,预后更差(例如,纤维化程度为10%、肺气肿程度为20%的患者的预后比纤维化程度为10%但无肺气肿的患者的预后更差)。然而,当使用基线DlCO或HRCT上的总疾病程度(例如,纤维化和肺气肿的总程度)调整严重程度时,IPF和肺气肿患者的死亡风险和发展PH与单纯纤维化患者没有差异(例如,在20%肺气肿程度和10%纤维化程度的患者中,在15%肺气肿程度和15%纤维化程度的患者中,结果是相似的)[30,58,191]。
发病机制及推测原因
导致肺气肿与IPF和其他fILDs共存的病理机制尚不清楚。同样,还不确定IPF和非IPF-ILD是否与肺气肿有因果联系,或者它们是否代表不同的肺部疾病并共享某些机制。
在不同的fILDs患者中肺气肿的风险增加支持了共同的病理生理学概念[28,49,51,223]。肺气肿和纤维化之间存在通过机械力的双向相互作用[52,224-226]。纤维化和肺气肿之间有许多共同的途径和病理机制,包括基因表达和通路、基因变异、端粒功能障碍和缩短、肺泡改变、表观基因组重编程和酶活性,特别是基质金属蛋白酶(表8)[227-279](详细描述见在线补充)。在几种动物模型中,肺气肿和纤维化均可发生[18,20,99]。然而,在肺气肿和纤维化之间也发现了不同的基因变异和通路[227-230]。
表8.肺纤维化合并肺气肿的主要特征


术语和定义
回顾现有的术语和定义
目前CPFE的术语和定义出现在2005年,法国的一项多中心回顾性选择的61例患者的研究[1]。在这篇文章中,CPFE被描述为在HRCT上存在以上区为主的肺气肿,并伴有明显的纤维化的外周和基底为主的弥漫性实质性肺疾病。肺气肿没有被量化;然而,视觉HRCT检查中“明显”的肺气肿是一个纳入标准。大量后续的CPFE研究都使用了类似的术语,但定义和诊断标准各不相同。尽管这一定义有些不精确,但这样的标准在一些研究中确定了具有相似生理状况的患者群体[1,50,115]。
最近的一项系统综述确定了先前在72项关于CPFE的研究中使用的不同定义和诊断标准[3,280]。这项系统评价于2021年12月更新,包括96项研究,总结见表9。CPFE是根据Cottin和他的同事提出的标准诊断的[1]在所有合格研究中有53%(51/96)被诊断[3](图E10)。47项研究(49%)需要诊断为IPF,而49项研究(51%)包括各种非IPF病例。89项研究(93%)目测了纤维化的程度。三项研究要求胸部HRCT显示最小程度为10%的纤维化[203]。大多数研究(75%)如果胸部HRCT显示有肺气肿,则诊断为CPFE,而25%的研究使用特定的阈值:占总肺容积的5%[121,124],10%[24,32,148,203,207],15%[162],20%[145],25%[151]。在7项研究中,HRCT定量用于评估纤维化程度(例如,平均肺衰减在0到−700Hounsfield单位之间的体素百分比)。52项研究要求肺气肿以上肺为主,10项研究包括所有部位的肺气肿,34项研究没有明确位置标准。85/96项研究对肺气肿的程度进行了视觉评估,其中4项研究使用Goddard方法量化肺气肿[11,208,212,281],其余11项研究使用定量HRCT(例如,平均肺衰减的体素百分比为~950Hounsfield单位)。很少有研究使用肺功能测试值来定义CPFE。
表9.研究中采用的识别CPFE患者各种定义的总结

以往CPFE定义和术语的局限性
CPFE的研究主要是由观察性研究驱动的,这些研究使人们认识到CPFE具有独特的临床、放射学和生理学特征。然而,以往CPFE研究的一个主要局限性是研究人群和用于定义CPFE的标准的异质性,不同队列的直接比较和关键研究结果的验证变得不可能。
影像学和组织病理学研究都表明,CPFE可以存在于各种类型的fILD。IPF和COPD的共同危险因素是老龄和吸烟史,因此这一定义可能涵盖并发肺气肿的ILD患者的最大和最具临床相关性的亚群,同时也确保了相对同质的人群。允许CPFE包含各种各样的间质性肺病亚型的好处是可以涵盖这两种疾病的所有患者;然而,这种方法可能因不同的ILD亚型可能存在差异,导致使得疾病生物学评估变得复杂。考虑到肺气肿的常见风险因素(例如老龄和吸烟史)也易患某些ILD亚型(最显著的是IPF),涵盖所有ILD亚型的包容性定义与对照人群相比也可能导致偏倚。考虑到IPF与吸烟的关系,IPF与肺气肿的联系比CTD-ILD或fHP更常见,即使现在人们已经接受吸烟也会导致不同于IPF的纤维化[243-246]。协调这些相互冲突的优先顺序的一种潜在方法是以一种反映临床环境和/或研究目标的方式仔细和透明地定义CPFE。例如,评估预后的研究可能需要区分有无IPF的患者,而评估肺生理学的研究可能不需要这样的分层。
此外,很少有研究在胸部HRCT上量化纤维化和肺气肿的程度。当它们都存在时,自动量化是具有挑战性的(见影像部分),这阻碍了成像标准的制定和研究之间的一致性。因此,CPFE一词并没有明确肺纤维化或肺气肿的范围阈值,之前的一些研究包括任何数量的每种异常的患者,其他研究基于假定的临床相关性设置了更高的阈值。当使用时,特定范围阈值更常应用于肺气肿而不是肺纤维化。还讨论了疾病程度应该用目视还是定量的方法来量化,这也是个值得争论的问题。只有当肺气肿和/或纤维化超过特定阈值时,才指定CPFE具有排除可能没有或极小临床后果的亚临床疾病的优势,并选择具有CPFE典型结果风险的受试者。使用这样的阈值可以增加CPFE的特异性,但代价是排除了两个组成部分程度较少的患者。因此,关于使用特定阈值的决定部分取决于个别研究的目的,关于疾病机制的生物学研究可能不需要很高的阈值,但这些阈值被视为更适合于临床或生理学研究,在这些研究中,轻微的疾病不太可能产生有意义的影响。研究早期疾病患者(例如ILAs患者)提供了更好的机会[127],可以了解CPFE的自然病史以及这两种疾病背后的重要生物学过程。未来的定义和诊断标准应允许识别和研究这些早期疾病患者,特别是在研究疾病的生物学机制时。
建议的术语和定义
缺乏诊断标准和无法直接比较研究人群阻碍了对CPFE的生物学、管理和预后的研究。有必要建立特定的CPFE标准,包括对肺气肿和纤维化进行量化的标准化和可重复的方法。委员会提议一个通用术语(表10);为CPFE提供一个临时的、广泛的研究定义,使未来的研究成为可能;以及CPFE临床综合征的临时分类标准,旨在为管理CPFE患者的临床医生服务(表11)。因此,CPFE临床综合征是基于临床效用来确定的(见下文),而CPFE的研究定义描述了应该继续研究的更大的患者群体,最终目标是随着更多的临床和病理数据的出现而审查症状阈值。
表10.建议的肺纤维化合并肺气肿的术语



表11.肺纤维化合并肺气肿的研究定义(以研究为目的),以及肺纤维化合并肺气肿临床综合征的分类标准(旨在具有临床相关性)


委员会承认,没有明确的理由背离CPFE这个根深蒂固的历史术语,承认这是对这类患者最简单和最广泛的标签。同样,委员会建议保留CPFE的字面定义,即肺纤维化和肺气肿共存。因此,fILD和肺气肿的所有亚型都被包括在总体CPFE人群中,但考虑到在此定义中包含多个ILD可能带来的潜在偏差,一个重要的要求是对fILD亚型进行明确描述。然而,有人建议对CPFE的研究应包括对放射学和病理模式的全面描述(如“CPFE-IPF”或“CPFE-放射学UIP”或“CPFE-组织学NSIP”或“CPFE-放射学SRIF”)或已知的基础疾病(如“CPFE-fHP”或“CPFE-RA”)。这将有助于通过一个共同的术语在研究之间进行比较,并强调可归入CPFE之下的研究的异质性。
CPFE最常见的定义是存在肺纤维化和以上叶为主的肺气肿。在许多研究中,肺气肿以上叶为主的要求最大限度地减少了蜂窝状结构的存在带来的潜在混淆,蜂窝状结构通常以下叶为主,很难与间隔旁肺气肿区分开来。然而,该委员会提出,在CPFE中,肺气肿可能存在于肺的其他区域,可能夹杂着纤维化,或可能被直径为2.5cm的厚壁大囊肿所取代(“CPFE,厚壁大囊肿变体”)。
一些研究要求肺气肿的具体程度,超过15%这个阈值预测患者有不同的结果[29],10%是更常用的阈值[24,32,124,148]。出于研究目的,委员会建议根据肺气肿程度≥肺总容积的5%来定义CPFE(表11、图9和在线补充)。对于管理CPFE患者的临床医生,委员会建议根据肺气肿程度≥肺总容积的15%和/或与肺气肿、纤维化或病因无关的DLCO或毛细血管前PH值不成比例下降的病例对CPFE临床综合征进行分类。委员会承认需要进一步的研究来完善CPFE临床综合征的标准。例如,旨在评估CPFE临床综合征患者的临床或功能预后的研究应该评估肺纤维化和肺气肿的具体程度,以确保每个组成部分的临床相关性。尽管与单独的ILD和COPD相比存在生理差异,但肺功能,特别是FEV1/FVC不够敏感性或特异性,不足以用于定义CPFE[29];需要更多的研究来评估Kco或FVC/DlCO的潜在价值。
委员会并不建议HRCT显示最小程度的纤维化;然而,他们承认定义CPFE需要fILD(而不是ILA)。然而,该委员会建议,在未来的研究中,应该使用视觉评估来评估纤维化程度和肺气肿程度,并应分析研究终点与肺气肿程度阈值以上和以下的关联,以及它们与fILD模式的关联。委员会还强调,一般不应限制肺气肿的原因(如吸烟、大麻、生物质燃料暴露)或fILD(吸烟、CTD、特发性等),除非研究的重点是特定病因的肺气肿。未来的研究需要确定CPFE研究定义的重复性和相关性,以及CPFE临床综合征分类标准的临床实用性,未来可能会根据尚未确定的结果的生理学或影像预测因素进行改进。
CPFE是一种综合征吗?
背景和假说
更清楚地了解CPFE是否具有临床相关性(临床效用),或者它是否具有生物学独特性(致病效用),将有助于目前对CPFE的管理和未来的研究。在早期的描述中[12,17,19],CPFE被认为是IPF和肺气肿的巧合共存,与吸烟有共同的联系。2005年,对一系列61名患者的CPFE功能特征的描述[1],以及对PH高患病率的观察,为“CPFE作为IPF和肺气肿之外的独立临床实体的个体化提供了支持”[1]。作者认为“CPFE不仅是IPF的一种不同的表型,而且由于症状和临床表现的关联,每一种症状出现的概率都因另一种症状的存在而增加,因此应该被称为综合征”[2]。然而,对于CPFE是一种综合征还是不同的实体,目前还没有达成共识。
委员会审议了CPFE的以下选择:1)两种没有临床相关影响或重大致病意义的疾病共存(两种重合疾病);2)两种具有临床相关影响和/或重大病理意义的疾病并存(一种综合征);3)不同于IPF和肺气肿(一种截然不同的疾病)的单一生物独特实体。
综合症的定义
表12总结了支持和反对CPFE是一种综合征的主要论点。委员会基于以下论点赞成综合征一词。
表12.支持和反对肺纤维化合并肺气肿为一种综合征的主要论点


致病效用
肺纤维化和肺气肿有多种共同的途径;然而,尚未发现CPFE特有的主要致病途径。支持CPFE作为一种综合征的一个论点是肺纤维化和肺气肿的聚集性(例如,在一些fILDs中,HRCT上肺气肿的存在比预期的更普遍;参见发病机制一节)。综上所述,这些观察结果表明,至少在一些患者中,CPFE可能是由于共同的致病通路造成的。
然而,如果CPFE代表一种生物学上独特的综合征,它是否适用于所有CPFE患者是值得怀疑的。尽管存在肺气肿和肺纤维化的聚集现象,但在一些患者中,这两种疾病将不可避免地共存,作为与吸烟相关的巧合过程。定义具有独特病理途径的患者组,如果存在,可能需要对组织病理学和HRCT特征进行仔细的形态学评估。厚壁囊性病变(伴有肺气肿破坏和周围致密壁纤维化)可能代表CPFE的一种独特的影像学模式,因为在70%的CPFE患者的尸检研究中存在这种组织学特征,但在孤立的肺纤维化或孤立的肺气肿患者中从未出现过[141]。SRIF或AEF的模式也可能代表一种独特的CPFE组织病理学模式[4,182]。因此,在定义CPFE的形态学亚型和识别特征病理途径方面仍有大量工作要做。
临床效用
目前,CPFE作为一种综合征的接受程度主要取决于其临床效用。最有力的论据是,监测CPFE患者的疾病进展不能基于肺气肿:通常被视为IPF主要监测指标的连续FVC趋势在CPFE-IPF中可靠性较低,其预后意义低于其余无肺气肿的IPF患者。肺癌和肺动脉高压的高患病率进一步支持将CPFE指定为一种综合征,特别是从治疗后果的角度[282]。
另一种解决CPFE综合征是否是一种独特情况的方法是证明其临床结果不同于单独的IPF。然而,CPFE在诊断和量化方面的挑战阻碍了预后评估。如前所述,比较CPFE患者和单纯纤维化患者之间的结果的困难来自于CPFE的异质性,包括肺气肿和fILD成分,以及在研究结果时需要量化这两个成分以调整疾病的严重程度。然而,一般来说,额外的肺气肿提醒临床医生,PH发生的可能性比一定程度的fILD可能预期的更大[30,58,192]。此外,CPFE患者发生肺癌的风险高于单纯IPF患者[195,199]。
CPFE是一种独立综合征
综上所述,CPFE应被认为是一种基于不同的临床特征和病理因素的综合征,以促进进一步的潜在关键的发病机制研究。在一定比例的病例中,它是否可能对应于单一的生物独特实体,值得进一步研究。
管理
一般的措施
缺乏对照数据,也没有临床实践指南来指导CPFE患者的治疗决策[283]。尽管一些人主张基于可治疗的特征方法(例如,确定疾病表型和可能的内型对单个患者的管理很重要)进行管理[284,285],但没有高质量的数据表明在CPFE背景下对肺气肿或PH的治疗可以改善这些患者的健康结果。因此,表13中总结的CPFE的管理通常是从单独COPD中使用的方法和IPF试验的数据中推断出来的[283,286],在IPF试验中,CPFE患者亚组已经被探索过。
表13.肺纤维化和肺气肿合并患者的当前实践管理要点

所有吸烟的患者都应戒烟,并避免其他潜在的吸入性暴露。在静息性低氧血症的情况下吸氧治疗,如果只对运动和夜间发生的低氧血症吸氧,也可能有好处,即使是在那些静息时血氧正常的患者[287]。大多数CPFE患者接受定期锻炼和肺部康复治疗[193]。尽管没有研究评估CPFE中的肺康复,但肺康复和定期锻炼是肺气肿患者治疗的基石,并越来越多地应用于fILD患者。由于大多数fILD和COPD的急性加重被认为是由呼吸道感染(病毒或细菌)引发的,除非有禁忌证,否则也会按标准间隔提供流感、肺炎球菌和冠状病毒病(新冠肺炎)疫苗接种[286,288]。由于CPFE的自然病程进展[289],特别是并发PH时[290],应在疾病病程早期转诊考虑肺移植。
肺纤维化的治疗
关于药物治疗的决定是根据fILD的潜在诊断来指导的[288]。CPFE背景下肺纤维化的管理是由尼达尼布和吡非尼酮的里程碑式临床试验提供的信息[291-296]。12个月时,两种抗纤维化药物都能减缓轻度至中度IPF和其他进行性肺纤维化亚型的进展约50%。尽管有明显肺气肿(大于HRCT上的纤维化体积)和有明显气流阻塞的患者通常被排除在这些研究之外,但在CAPACITY1研究中,部分患者存在肺气肿可能导致了安慰剂组FVC的缓慢下降[291]。一项对IPF的尼达尼布INPULSIS试验的亚组分析发现,对于轻度至中度肺气肿的存在,治疗效果的大小没有差异[297]。重要的是,在INBUILD试验中,对于尽管进行了治疗但仍有进展的纤维化性间质性肺疾病患者(IPF除外)[294],尼达尼布在不同ILD类别中的治疗效果是一致的[298]。因此,抗纤维化药物可能有利于IPF合并CPFE的患者,以及其他形式的尽管进行了治疗但仍在进展的肺纤维化合并CPFE患者。对于非IPF的fILD合并肺气肿的患者,包括fHP和CTD-ILD,糖皮质激素和/或免疫抑制治疗可能是有益的[288]。然而,考虑到CPFE独特的生理特性,有必要在未来的试验中专门研究它。具体来说,如前所述,保留的FVC[24]和较慢的FVC进展速度[29]表明,作为IPF试验的传统终点的FVC,作为CPFE的主要终点可能存在严重缺陷。
肺气肿的治疗
鉴于缺乏针对CPFE治疗的对照数据,建议对每个患者的个体表型进行识别[35]。吸入性支气管扩张剂可能对有明显气流限制的CPFE患者(即COPD)有益处[299],一项无对照队列研究表明,联合使用吸入性皮质类固醇和长效支气管扩张剂可能改善FEV1[287,299]。CPFE患者吸入性支气管扩张剂加或不加糖皮质激素需要进一步研究,因为其肺量测定值保存相对完好[24]。
手术或支气管镜肺减容治疗去除肺气肿组织,使相对正常的组织扩张;然而,由于DLCO常常会严重降低[300],大多数CPFE患者将被排除在这种手术之外。使用支气管内瓣膜的支气管镜入路通常更安全,但没有与手术进行直接比较[301]。然而,目前尚不确定的是,去除肺气肿组织是否会导致CPFE患者的肺力学改善或恶化。
肺动脉高压的治疗
在CPFE存在的情况下,PH的管理是基于管理潜在的呼吸障碍,用补充氧治疗低氧血症,并确保肺移植转诊的最佳时间[115]。对照数据不支持使用口服PH特异性治疗[192,302],包括内皮素受体拮抗剂(波生坦,安贝生坦),磷酸二酯酶-5抑制剂(西地那非,他达拉非),或可溶性鸟苷酸环化酶刺激剂[303],尽管无对照观察研究显示PH治疗可能有益处[304,305],在IPF中使用西地那非的试验中出现了令人鼓舞的次要终点趋势[295,306,307]。应该特别小心,因为使用安贝生坦和利奥西呱治疗可能对患有fILD的患者有害[308,309],尤其是患有CPFE的患者[310]。最近,在右心导管检查证实的ILD和3组毛细血管前PH值患者中,与安慰剂相比,曲前列环素雾化治疗改善了6分钟步行距离,降低了NT-proBNP浓度,改善了FVC,并降低了临床恶化的风险[282,311];然而,由于多重挑战,临床实施仍然有限。到目前为止,回顾性数据还没有证明PH治疗对CPFE患者的生存有任何好处,需要进一步的研究来专门评估这些治疗,特别是那些保留肺量测定和PH比例过高的患者。
肺癌的治疗
处理肺癌的总体方法与其他人群相似,在可能的情况下优先进行手术切除(如I期和II期非小细胞肺癌),在其他情况下考虑多种额外选择(如化疗、靶向药物、放疗),以及适合许多患者的姑息治疗(312例)。不幸的是,相对较多的CPFE患者不适合各种形式的治疗,而且接受治疗的患者的并发症发生率通常较高,损害可能是由肺气肿和潜在的fILD的严重程度综合决定的。例如,由于CPFE直接导致的治疗局限性[116],17%的CPFE和肺癌患者无法实施标准的癌症治疗。
临床试验展望
终点的选择
CPFE的临床试验数量有限,部分原因是其复杂的病理生理学和缺乏标准化的定义。肺气肿(CPFE)对COPD和ILD常用预后的潜在影响,这些变量随时间的变化是不确定的,在考虑如何将这些患者纳入临床试验和研究时存在困难。特别是,在CPFE中,尽管疾病进展和死亡率很高,但FVC作为终点的使用受到其相对稳定性的限制[29]。DlCO的使用受到疾病一般功能严重程度(即下限效应)、测量方法的可变性及其多种决定因素的限制[313]。CPI没有作为端点进行验证。死亡率被认为不能作为主要终点[314]。可以考虑综合终点(例如,死亡、呼吸系统住院或绝对的FVC下降)。然而,复合端点通常是由它们最不严重的组成驱动的[315],并且只与它们的意义相同。HRCT分析纤维化使用可视化方法或未来的定量计算机工具,可以准确区分肺气肿和/或血液生物标志物,如果验证为终点,可能特别有用。
一项回顾性研究表明,FEV1的变化(FEV1在12个月内下降10%)是至少中度CPFE患者死亡风险增加的最佳生理预测因子[138]。虽然还需要进一步的研究,但这些有限的数据可能在未来临床试验的设计和执行过程中具有重要的意义。
IPF试验中的CPFE患者
FVC是IPF治疗试验中首选的主要终点[316],但其连续变化与并发肺气肿相混淆,这一观察结果对未来IPF试验设计具有重要意义[29]。在未来的IPF试验中,并发肺气肿对功能有显著影响的患者可能被排除在外。吡非尼酮的CAPACITY和ASCEND试验采用的方法是分别根据FEV1/FVC比值0.7或0.8排除阻塞性肺疾病患者[291,293]。因此,吡非尼酮对IPF和气流阻塞患者的影响尚不清楚。然而,在IPF的设定下,生理变量在排除肺气肿患者时是不敏感的[29],而HRCT上肺气肿程度等影像学标准可能更合适。
在尼达尼布的INPULSIS试验中,FEV1/FVC比值0.7的患者也被排除在外[292]。事后分析发现39.6%的患者有肺气肿(基线评分为是或否),38.8%的FEV1/FVC比值为0.7和⩽0.8[297]。当比较不同的FEV1/FVC阈值(0.7FEV1/或FEV1/时[297],尼达尼布相比安慰剂的治疗效果在有无肺气肿患者之间相似。需要进一步的研究来更好地了解CPFE的存在和严重程度的影响,以及吡非尼酮或尼达尼布治疗的效果。
CPFE与非专科医生的相关性
尽管大多数非ILD的肺部专家和全科医生对COPD有一定的了解,但许多人对CPFE的诊断和治疗并不熟悉。
在临床诊断为COPD的患者中,在轻度到中度气流阻塞的情况下,DLCO严重降低,这表明额外的检查可能有用,特别是胸部HRCT。虽然肺气肿本身可能表现为DLCO不成比例的减少,但CPFE被考虑,特别是考虑到HRCT成像中ILA的高患病率(在约8%的60岁以下的吸烟者中),以及它们与限制性肺功能障碍的相关性,这些限制性肺功能障碍可掩盖肺活量测定中气流阻塞的特征[127]。尽管HRCT成像目前还不是COPD患者的标准方法,但最近有人提出将其用于COPD的诊断[317],越来越多的患者接受影像学检查,或用于肺癌筛查,或作为高级治疗(如支气管内瓣膜置放)的附加诊断检查。在这种情况下,HRCT结果可能是纤维化也存在的第一个临床线索。在COPD队列研究中,存在ILAs的患者的临床结果比无ILAs患者更差,包括运动能力降低[318]和全因死亡率增加[319]。
确诊CPFE后,如本文所述,可能需要额外的病史和诊断性检查,与单独ILD患者的检查相似[144,283]。与ILD专家会诊或转诊可能有助于确定患者是否适合进行ILD特异性治疗,尽管还需要进一步的研究来更好地了解这一患者群体的最佳治疗方法。一般来说,肺气肿的存在与更糟糕的结果和更大的肺动脉高压可能性相关,而对于给定程度的ILD来说,这一可能性更大。未来还需要进行研究,以评估这一人群患肺癌的风险。尽管与一般人群相比,IPF和COPD都增加了肺癌的风险,但CPFE(或ILAs和肺气肿)患者的肺癌风险可能高于肺气肿或单独IPF[148,195,199]。这类患者的预后也普遍较差[199]。
研究的重点
CPFE工作组委员会确定了我们需要解决的几个知识空白,包括:1)了解CPFE的发病机制;2)了解CPFE的病理学、疾病行为和自然史;3)改进早期诊断的方法;4)评估潜在的治疗机会。表14列出了确定一些被认为对研究重要的主题的问题和陈述。
表14.肺纤维化合并肺气肿的研究重点




结论
CPFE的特征是:胸部HRCT和组织病理学具有多种多样的表现和模式。肺纤维化和肺气肿的种类(无论哪种类型的肺纤维化)、相关的共病和并发症(特别是PH和肺癌)的发生率、疾病进展监测,以及这两个组成部分共同的发病机制通路,提示CPFE应被视为一种综合征。尽管有大量的案例和研究,许多重要的问题仍未得到解答。该ATS/ERS/JRS/ALAT研究共识提供了研究定义和分类标准,并确定了主要的研究重点,将更好地理解该综合征,了解其发病机制,并指导对CPFE的管理。
(参考文献:略)
原文

SyndromeofCombinedPulmonaryFibrosisandEmphysema:AnOfficialATS/ERS/JRS/ALATResearchStatement
CottinV,SelmanM,InoueY,:AnOfficialATS/ERS/JRS/;206(4):e7-e41.
译者简介

邓赣修
同济大学博士在读。

李强
教授、主任医师、博士生导师。上海同济大学附属东方医院呼吸与危重症医学中心主任,肺部肿瘤临床诊疗中心主任,大内科及内科教研室主任。世界支气管病及介入肺脏学会理事;亚太地区介入呼吸病联盟常务理事;中国介入呼吸病学创新产业联盟主席;中国医师协会呼吸分会介入呼吸病学工作委员会主任委员;中华医学会呼吸病分会介入组副组长;上海市医学会呼吸病分会主任委员。主持:国家重点研发计划1项;国家自然基金面上目2项;国家卫计委重大行业专项1项;上海市科委课题1项。发表论文180余篇,其中SCI收录50篇;主编出版专著6部;获国家专利14项。

朱晓萍
荷兰Nijmegen大学医学博士,上海同济大学附属东方医院呼吸与危重症医学科本部院区主任,主任医师,博士生导师。现任上海市医学会呼吸分会间质病学组副组长;中国防痨协会多学科诊疗分会副主任委员;Thorax中文版肺间质病编委;上海市医师协会呼吸分会委员。主持国家自然基金面上项目2项,科技部重大新药创制项目子课题1项;获上海市浦东新区科技进步二等奖、浦东新区优秀学科带头人、上海市医师协会优秀呼吸医师等荣誉。

邓常文
北京大学医学博士、主治医师、同济大学讲师、大内科教秘。中华医学会呼吸病学分会肺癌学组青年委员,中国抗癌协会会员。2021年东方医院“东方人物”。临床擅长:间质性肺病、肺部肿瘤规范诊治及免疫治疗、慢性气道疾病。研究方向:干细胞与肺癌免疫治疗。主持国家自然基金1项,主持/参与国家及北京市自然基金、北京科委专项等5项基金,发表论文10余篇。

董雪
博士、主治医师。擅长:肺癌的早期诊断及综合治疗,重症肺癌的综合治疗,肺部弥漫性疾病的综合诊疗,参与多项药物临床试验及课题。

胥武剑
博士、副主任医师、东部战区总医院博士后。中国人体健康科技促进会呼吸介入专业委员会常委、中国防痨协会MDT专业分会委员。临床擅长:肺癌的规范化诊疗,肺部肿瘤的介入诊疗,间质性肺病、危重肺部感染的诊断和治疗,近年来先后获国家自然科学基金、上海市科委、中国博士后、江苏省博士后等各项基金6项,发表SCI论文10余篇,获国家专利11项。

唐荣娟
上海市东方医院呼吸内镜中心组长;华东地区介入呼吸病协作组护理委员会委员;中国医师协会呼吸内镜质控委员会委员。
上海同济大学附属东方医院呼吸与危重症医学科合影
*文章仅供医疗卫生相关从业者阅读参考
本文完
责编:Jerry